产品中心
技术参数
产品描述
我公司研发的无血清细胞冻存液,可用于哺乳动物细胞,尤其是PBMC、NK等多种免疫细胞的冷冻保存,冻存复苏后的细胞活率达90%以上;无血清,无异源动物成分,化学成分限定;无需复杂的程序化降温;即用型,无需配制,使用方便。
产品数据
冻存PBMC复苏后保持高活率;

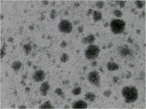
冻存PBMC复苏后可用于NK细胞的激活扩增;

冻存PBMC复苏后激活扩增的NK细胞状态良好;
冻存NK细胞复苏后,细胞活率和表型均不受影响;

产品描述
产品数据
冻存PBMC复苏后保持高活率;

冻存PBMC复苏后可用于NK细胞的激活扩增;

冻存PBMC复苏后激活扩增的NK细胞状态良好;
冻存NK细胞复苏后,细胞活率和表型均不受影响;
